レベル1:C0

歯の表面が酸により溶け始めている虫歯の前兆です。自覚症状が無く、見た目に虫歯とはわかりにくく、歯の表面の透明感を失い白濁した状態です。
- 【治療法】
- しっかりとしたホームケア、ブラッシング、フッ素塗布などを行い、再石灰化により元の健康な歯の状態を取り戻す事が可能です。

レベル2:C1

C0よりも虫歯が進行した状態で、歯が黒くなったり茶色くなります。エナメル質には神経が無いので、ほとんど自覚症状がありません。
- 【治療法】
- 患部を削って詰め物をすれば治ります。

レベル3:C2

C1よりも虫歯が進行した状態で、エナメル質を貫き象牙質に進行した状態です。冷たいものや甘いものでしみたりしてきます。
- 【治療法】
- 麻酔を行い、患部を削って詰め物をすれば治ります。患部が大きい場合は型取りをして詰め物や被せ物を行います。

レベル4:C3

C2よりも虫歯が進行した状態で、象牙質を貫き神経にまで進行した状態です。噛んだり食べ物が穴に入ると激痛が走ったり、何もしなくても痛みを感じる事があります。
- 【治療法】
- 麻酔を行い、歯の神経を取り除く治療を行います。神経の治療が終わったら、土台を入れて被せ物を行います。

レベル5:C4

C3よりも虫歯が進行した状態で、歯もボロボロに欠けたり、神経は壊死してしまい痛みがなくなります。この状態でしばらくいると、根の先に膿の袋が出来る事があり、そうなると再び激痛になる事があります。
- 【治療法】
- 状態によっては根管内の治療を行い土台を入れて被せ物を行います。 治療が出来ない状態の場合は抜歯を行います。抜歯を行なった場合はブリッジや部分入れ歯を入れるか、インプラントなどを行う事も出来ます。
歯科治療も他の医療分野と同じように、早期発見と早期治療がとても大切です。治療は遅れれば遅れる程、治療期間・痛み・経済的な負担などが増えていってしまいます。歯が悪くなってからそこだけを治療する事よりも、病気や異常が起こる前に発見し、防ぐ事が最も良い方法です。その為には定期検診が不可欠です。何も自覚症状がなくても、子供は3ヵ月に1度、大人は半年に1度は定期健診を受けるようにしましょう。
<定期検診の内容>
- 1. レントゲン検査
- 必要に応じて2年に1回程度パノラマX線撮影
- 2. 歯周組織検査および虫歯等の口腔内検査
- 歯周病(歯周ポケット・出血・排膿・歯の動揺度等)、虫歯および顎関節症など口腔内全体の検査
- 3. 問題点の説明および治療方針の説明
- 4. クリーニング
- 超音波スケーラ-、ジェットポリッシャー等を駆使しクリーニングを行います。
- 5. フッ素塗布
- 食べかすによる酸で溶けたエナメル質を再石灰化し、更にエナメル質を強くし酸から守ります。
- 6. 食生活指導

PMTCとは、歯科医院で行う専門的な歯のクリーニングのことです。ご自宅での正しい歯磨きはもちろん重要ですが、どうしても歯ブラシと歯磨き粉だけでは取りきれない汚れがあります。当院では細菌の除去だけでなく、エアフローを使ってしっかりと着色汚れも取り除いております。お口の中をスッキリさせて、歯本来の色を取り戻したい方は、お気軽にクリーニングにお越しください。

フッ化物によって唾液内のミネラルが歯につきやすくなり、再石灰化を促したり、歯を酸化から守ってくれます。唾液の機能が弱い発育段階の乳幼児や、食生活が乱れがちな成人の歯周病対策にも効果的です。
歯周病は、プラーク(歯垢)が原因となって引き起こされる歯ぐきの病気です。また不摂生な生活習慣も歯周病の発症や悪化の要因の1つとされています。近年の研究により、歯周病は勃発期(悪化する時期)と静止期(悪化しない時期)を繰り返しながら進行していくということが分かりました。歯ぐきの腫れや膿、痛みなどが感じられたら、早急に相談しましょう。
さまざまな検査をおこなって、1本1本の歯の歯周病の状態を調べます。

患者さんと歯科医師・歯科衛生士が連携し、プロフェッショナルケアで歯周病を治していきます。歯周病の治療には相応の期間が必要ですので、根気よく治療を続けましょう。

歯を削る治療をした後は「詰めもの」「被せもの」と呼ばれる人工の歯を装着することになります。保険診療では「金銀パラジウム合金」いわゆる銀歯になります。しかし最近は審美性を求める方も増え、自由診療で白く違和感のない素材を選ぶこともできます。今では素材の開発が進み、見た目・耐久性ともに優れたものが増えてきました。自由診療をご希望の患者様には、材料や費用のことなど丁寧に説明いたします。そしてご納得の上で診療に入りますので、 ご相談ください。
| 保険適応の有無 | 詰める治療 (インレー) | かぶせる治療 (クラウン) | 歯の欠損を補う治療 (ブリッジ) |
|---|---|---|---|
| 保険治療 (パラジウム合金) | ![]() | ![]() | ![]() |
| 自費治療 (金合金) <白金合金> | ![]() | ![]() | ![]() |
| 自費治療 (ハイブリッド) (セラミック) | ![]() | ![]() | ![]() |
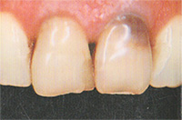
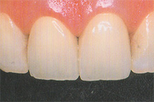
【治療例】
● 前歯部(ジャケット冠)
| 前歯2本が虫歯になり、以前治療した部分も変色して見た目が悪くなっています。 | ![]() | ![]() | ![]() | 前歯2本を治療。隙間もなくなりとてもキレイになりました。 |
● 臼歯部(インレー)
| 奥歯にインレー(小さな詰め物)があり、口を開けると気になります。 | ![]() | ![]() | ![]() | 自分の歯に合った色合いで、自然な仕上がりになりました。 |
● 臼歯部(クラウン)
| 奥歯にクラウン(被せもの)があります。最近は奥歯の見た目も気にする人が増えています。 | ![]() | ![]() | ![]() | 治療完了。おおきく口を開けて笑っても白い歯が見え違和感がありません。 |

幼少期は日々成長をしていくため、発育段階に合わせて適切な歯のケアを行っていくことが重要です。歯ぎしりが顔の成長に悪影響を与えたり、残っている乳歯が永久歯の邪魔をして歯並びが悪くなったりすることがありますので、定期健診に通いながらしっかりと早めの処置を行っていくようにしましょう。
当院では、検診時に歯ブラシや歯磨き粉の選び方などもアドバイスさせて頂いておりますので、お子さんの歯のケアで分からないことがありましたら、お気軽にご相談ください。
小児歯科でむし歯の予防や歯並びの検査をしていくことで、成長期の様々なお口の疾患を防ぐことが可能です。むし歯がなくても永久歯が生えてきたら、歯医者さんで診てもらいましょう。
| 年齢 | 年齢別ケア |
| 0〜1歳 | 【乳歯が生え揃う前】 ・ほ乳瓶に砂糖を含んだ飲料や酸性度の強い飲料などを入れない。 ・歯が生え始めたら、食事の後には湿らせたガーゼなどで歯と歯肉をふいてあげる。 ・お母さんに歯磨きをしてもらってから寝るという習慣をつける。 |
| 2〜3歳 | 【乳歯が生え揃う頃】 乳歯がほぼ生え揃います。 ・子ども自身で歯磨きを始めさせる。ただし親が仕上げ磨きをしてあげる(8歳頃まで)。 ・よく咬むお菓子を食べさせて顎と歯牙をきたえる。 ・市販のお菓子類やジュースなど甘味飲料の与えすぎに注意する。 ・シュガーレスのお菓子を選んだり、手作りをしたりして砂糖を使わないようにする。 |
| 4〜5歳 | 【乳歯が生え揃った後】 ・歯磨きの習慣づけとフッ素入り歯磨き剤の使用。 ・おやつを食べる時間、場所を決める。 ・かかりつけの歯科医院を見つける。 ・フッ素の塗布、シーラントの利用。 |
| 6〜9歳 | 【永久歯が生え始める頃】 第一大臼歯(六歳臼歯)と上の前歯の歯間の予防 ・永久歯の奥歯で最初に生える第一大臼歯。虫歯にかかりやすいので注意する。 ・正しいブラッシング法を教える。 ・フッ素洗口やシーラントなども利用。 |

小児の歯質は弱く虫歯になりやすく、特に奥歯の溝は歯磨きもしにくいので虫歯率が高くなります。そこで、虫歯になる前にその溝を安全な歯科材で埋めてしまう方法がシーラントです。

乳歯や生え替わったばかりの永久歯は非常に弱いのですが、フッ素塗布によって大人の歯と同等の強度にすることができます。定期的にフッ素塗布を行い、むし歯に負けない丈夫な歯を作りましょう。

いけがめ歯科には経験豊富な矯正の専門医が在籍しております。歯並びを整える小児矯正、顎の大きさを調整する咬合誘導など、お子様の歯並びに関することはご相談をお受けします。詳しくは矯正歯科ページをご覧ください。

















